
Винты с пластинами и пересадка кожи: воронежские медики спасли пациента с тяжёлым переломом
Воронежские медики восстановили пациенту локтевую кость после перелома. Сложный случай лечения тяжелой травмы предплечья успешно завершился в Воронежской городской клинической больнице №2 им. К.В. Федяевского, сообщила пресс-служба облздрава во вторник, 14 октября.
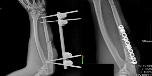
Пострадавший поступил в медучреждение с переломом локтевой кости и большой поверхностной раной. Лечение проводили в три этапа. Сначала хирурги провели первичную обработку и установили аппарат внешней фиксации, чтобы стабилизировать сломанную кость.
Спустя две недели медики приступили к восстановлению кожного покрова. Для этого была применена аутодермопластика — пересадка расщепленного кожного лоскута, взятого у самого пациента. Тонкий слой кожи с помощью специального инструмента перенесли на рану, предварительно перфорировав для увеличения площади.
На заключительном этапе, через три недели, травматологи-ортопеды выполнили открытую репозицию отломков кости и провели погружной остеосинтез — зафиксировали перелом пластиной и винтами. Врачам удалось полностью восстановить анатомию и функции руки. Пациента уже выписали из стационара в удовлетворительном состоянии.
Операцию и последующее лечение проводила бригада медиков в составе заведующей хирургическим отделением Светланы Бакулиной, хирурга Любови Семеновой, травматолога-ортопеда Дмитрия Разумного, анестезиолога-реаниматолога Игоря Федорищева, операционной сестры Анны Прокофьевой и медсестры-анестезиста Аллы Беленовой.